Soins spécifiques
Blanchiment des Dents:
Un sourire éclatant est un véritable atout de séduction et un passeport professionnel.
Le Blanchiment des Dents est un procédé éprouvé permettant d'éclaircir et renforcer l'email et la dentine grâce à une solution de peroxyde de carbamide ou de peroxyde d'hydrogène.
C'est un acte médical qui ne doit pas être réalisé n'importe où, mais sous le contrôle de votre Chirurgien-dentiste. Parlez-en avec lui.
Vous trouverez aussi des brochures dans la salle d'attente de l'Espace Dentaire qui vous donneront plus de détail.
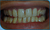
AVANT:
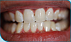
APRES:
L'Implant pour des Solutions Prothétiques de qualité:
L'Implant est la meilleur solution prothétique. Il offre de nouveaux horizons en prothèse.
- Edentement postérieur:
Lorsqu'une dent postérieure manque, le Bridge n'est pas possible. La pose d'une couronne sur Implant permet de retrouver une mastication normale.
- Edentement encastré:
La pose d'un Bridge pour combler une dent manquante entre 2 dents a l'inconvénient d'obliger de tailler des 2 dents latérales qui sont souvent saines et vivantes et donc de réduire leur espérance de vie. La couronne sur Implant présente l'avantage d'une solution pérène sans abimer les dents latérales.
- Bridge de longue portée:
Un bridge longue portée impose des contraintes forte aux dents "porteuses". Comme pour l'édentement encastré, il oblige à tailler des dents souvent saines. Le Bridge Implanto-porté est une bonne solution.
- Remplacement de dent mobile:
Quand une dent est mobile, il va falloir la remplacer. Mais souvent, les dents latérales sont elles aussi mobiles et un Bridge n'est pas possible car les dents porteuses ne sont pas assez solide. L'Implant est la solution idéale.
- Stabilisation de prothèse partielle mobile ou complet:
Un appareil de grande étendue ou complet offre souvent une stabilité limitée qui n'est pas très confortable pour le patient. La mise en place d'Implants avec attachement boule permet de stabiliser l'appareil et offre un grand confort au patient.
Parlez-en avec votre Chirurgien-dentiste, il vous proposera la solution la mieux adaptée à votre problème.
